ロータブレーターとは、どんな道具ですか?
動脈硬化が進むと、血管に石灰が付着してきます。そうすると血管は極端に固くなります。変な話ですが、病理解剖のときに使うメスの刃がボロボロになってしまうような文字通りの動脈硬化にまで進行することがあります。そういう血管をバルーンで拡張しようとしても十分広がってくれません。今のバルーンには20気圧以上の圧をかけても破裂しないように設計されているものもあるのですが、それでもダメ、あるいは固い部分と柔らかい部分の境目に大きな亀裂を作るだけ、というような病変もあります。そういうときの強力な道具として登場したのがロータブレーター(Rotablator)です。
これはワイヤーの先端に弾丸型のダイアモンドチップ(burr)が取り付けられており、そのチップを一分間に15万回以上回転させて、固い粥腫を赤血球大にまで粉砕して流してしまう、という道具です。
では、まず実例です。

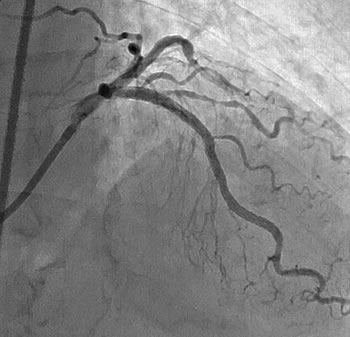
上左図の矢印部はまだ造影剤が注入されていないにもかかわらず、血管に沿って黒く見える部分があり、これが石灰化の存在を示しています。上右図において、その石灰化の部位に狭窄が存在しています。拡張不良が予想される所見です。


左冠動脈を正面上方より見る
最終的に、良好な拡張が得られました。また、理論上は細かく粉砕された病変は血管に詰まることはないはずなのですが、必ずしもそううまくはいかず、胸痛が長く続いたり、ひどい場合は心筋梗塞になってしまうこともあります。ですから、心筋梗塞を繰り返したために残された心臓の機能の少ない人や、著しく病変が長いために削られる病変の量が多いと予想される病変には、ロータブレーターによる治療はあまり適していません。ロータブレーターは基本的にプラーク表面付近の硬い組織を削り取る道具であり、その後、バルーンカテーテルおよびステント留置が行われます。
サイト内リンク一覧
受診予約
月~金 8:30~17:00 (祝・年末年始除く)
お問い合わせ
急患の方は24時間随時診察いたします